Rete testis

Rete testis
Position of the rete testis within the testicle
Details
PrecursorWolffian duct
Identifiers
Latinrete testis
MeSHD012152
TA98A09.3.01.024
TA23601
FMA19834
Anatomical terminology

The rete testis (/ˈrti ˈtɛstɪs/ REE-tee TES-tis; pl.: retia testes) is an anastomosing network of delicate tubules located in the hilum of the testicle (mediastinum testis) that carries sperm from the seminiferous tubules to the efferent ducts. It is the homologue of the rete ovarii in females.[1] Its function is to provide a site for fluid reabsorption.

Structure

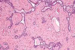
Micrograph of the rete testis. H&E stain.

The rete testis is the network of interconnecting tubules where the straight seminiferous tubules (the terminal part of the seminiferous tubules) empty. It is located within a highly vascular connective tissue in the mediastinum testis.[2] The epithelial cells form a single layer that lines the inner surface of the tubules. These cells are cuboidal, with microvilli and a single cilium on their surface.[3]

Development

In the development of the urinary and reproductive organs, the testis is developed in much the same way as the ovary, originating from mesothelium as well as mesonephros. Like the ovary, in its earliest stages it consists of a central mass covered by a surface epithelium. In the central mass, a series of cords appear. These cords run together toward the future hilum and form a network that ultimately becomes the rete testis.

Function

It appears the function of the rete testis is to mix the sperm as they leave the seminiferous tubules. Sperm leave the seminiferous tubules in the dilute secretions of Sertoli cells. The rete testis does modify the luminal fluids with a limited amount of secretion and reabsorption, but their primary function is to mix and transport the sperm into the efferent ductules, where the major function is reabsorption of about 95% of the fluid, which increases the sperm concentration prior to entering the epididymis.

Clinical significance

Rete tubular ectasia is a disorder of the rete testis characterized by multiple benign cysts.

Etymology

English uses the Neo-Latin name for the structure, which simply means "network of the testis".

Additional images

References

  1. ^ Definition: Rete testis from Online Medical Dictionary
  2. ^ Ross, M.; Pawlina, W. (2011). Histology: A Text and Atlas (6th ed.). Lippincott Williams & Wilkins. p. 802. ISBN 978-0-7817-7200-6.
  3. ^ Young, B.; Woodford, P.; O'Dowd, G. (2013). Wheater's Functional Histology: A Text and Colour Atlas (6th ed.). Elsevier. p. 344. ISBN 978-0702047473.