Appendix cancer

Appendix cancer
Other namesAppendiceal cancer
An excised biopsy of an appendiceal carcinoid tumor
SpecialtyOncology, general surgery
SymptomsBloating, discomfort in lower right abdomen, shortness of breath, loss of appetite[1]
Usual onset~50-55 years old [2]
TypesColonic-Type Adenocarcinoma, Non-carcinoid Appendix Tumors, Signet-Ring Cell Adenocarcinoma [1]
Risk factorsSmoking, family history, Multiple endocrine neoplasia type 1[3]
Diagnostic methodBiopsy, CT Scan, MRI[1]
Differential diagnosisAcid reflux, Irritable bowel syndrome, Lactose intolerance, Stomach cancer[1]
TreatmentAppendectomy, chemotherapy, radiation therapy[4]
PrognosisFive-year survival rate 25-88% (U.S.) [5]
Frequency~1,000 cases per year (U.S.)[6]
DeathsUnknown

Appendix cancer, also known as appendiceal cancer, is a very rare malignant tumor that forms in the vermiform appendix.[7]

Gastrointestinal stromal tumors are rare tumors with malignant potential.[8] Primary lymphomas can occur in the appendix. Breast cancer, colon cancer, and tumors of the female genital tract may metastasize to the appendix.[9]

Diagnosis

Appendix neoplasms by incidence and prognosis.

Carcinoid tumors are the most common tumors of the appendix.[10] Other common forms are mucinous adenocarcinomas, adenocarcinoma not otherwise specified (NOS), and signet ring cell adenocarcinoma listed from highest to lowest incidence.[11]

Carcinoid

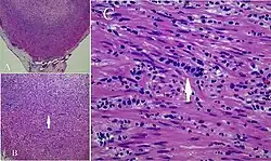
Histopathology of an appendiceal carcinoid. The arrow points out a cluster of neuroendocrine cells. There are also inflammatory cells consistent with acute appendicitis.

A carcinoid is a neuroendocrine tumor (NET) of the intestines.[12] Incidence rates among carcinoids occur at about 0.15 per 100,000 per year. This subgroup makes up a large amount of neoplasias both malignant and benign. Almost 3 out of 4 of these tumors are associated with the region at the end of the appendix, and tend to be diagnosed in the 4th to 5th decades in life. Both women and Caucasian individuals show a minor prevalence regarding neuroendocrine tumor diagnosis without an explanation.[13] Prognosis of 5 year survival rates of carcinoids averages between 70 and 80% for typical cases. Advanced cases for 5 year survival range from 12 to 28%.

Mucinous neoplasm

Low-grade appendiceal mucinous neoplasm: Minimal cytological atypia of the epithelial cells.[14]

Mucinous cystadenoma is an obsolete term for appendiceal mucinous neoplasm.[15]

Treatment

Small neuroendocrine tumors[16] (<2 cm) without features of malignancy may be treated by appendectomy if complete removal is possible. Other neuroendocrine tumors and adenocarcinomas may require right hemicolectomy.

Pseudomyxoma peritonei treatment includes cytoreductive surgery which includes the removal of visible tumor and affected essential organs within the abdomen and pelvis. The peritoneal cavity is infused with heated chemotherapy known as HIPEC in an attempt to eradicate residual disease. The surgery may or may not be preceded or followed with intravenous chemotherapy or HIPEC.[17]

Epidemiology

A study of primary malignancies in the United States found a rate of 0.12 cases per 1,000,000 population per year. Carcinoids that were not identified as malignant were not included in this data.[18] Carcinoid is found in roughly 1 in 300-400 appendectomies for acute appendicitis.[19]

In a systematic literature review where 4765 appendiceal cancer patients were identified, the incidence of appendiceal cancer was shown to have increased regardless of the type of tumor, age, sex, and stage of appendiceal cancer.[11] Roughly 75% of appendiceal cases listed in the review had some form of metastases occurring. No observed trends have been noticed as to why this increase is occurring. One theory proposed is the increased use of computed tomography imaging in emergency departments since the early 1990s allowing for detection to occur before a surgery may be performed.

Malignancies in the appendix may also cause Pseudomyxoma peritonei.

Notable cases

  • Actress Audrey Hepburn was diagnosed with appendiceal cancer and died of the disease in 1993.[20]
  • In 2007, ESPN sportscast anchor Stuart Scott was diagnosed with appendiceal cancer and died of the disease in 2015.[21][22]
  • Serbian musician Vlada Divljan was diagnosed in 2012, and died of subsequent complications in 2015.[23]
  • Mexican actor Adan Canto died of appendiceal cancer at the age of 42 in 2024.[24]

References

  1. ^ a b c d MedStar Georgetown Cancer Institute
  2. ^ Rare Diseases article
  3. ^ Moffitt Cancer Center
  4. ^ University of Chicago Medicine
  5. ^ cancer.net
  6. ^ MD Anderson
  7. ^ "What is the Appendix?". News-Medical.net. 2016-10-18. Retrieved 2023-02-08.
  8. ^ Park, Jin Hwa; Kang, Bo-kyeong; Lee, Hang Lak; Yoon, Jai Hoon; Lee, Kang Nyeong; Jun, Dae Won; Lee, Oh Young; Han, Dong Soo; Yoon, Byung Chul; Choi, Ho Soon (September 2020). "Correlation between Three-Dimensional Volume and Malignant Potential of Gastrointestinal Stromal Tumors (GISTs)". Journal of Clinical Medicine. 9 (9): 2763. doi:10.3390/jcm9092763. ISSN 2077-0383. PMC 7564070. PMID 32858945.
  9. ^ Rosai, Juan (2004) [1953]. "11. Gastrointestinal tract". Rosai and Ackerman's surgical pathology (9th ed.). Mosby. pp. 761–769.
  10. ^ Sabiston Principles of Surgery (20th ed.). p. 1308.
  11. ^ a b Marmor, Schelomo; Portschy, Pamela R.; Tuttle, Todd M.; Virnig, Beth A. (6 January 2015). "The Rise in Appendiceal Cancer Incidence: 2000–2009". Journal of Gastrointestinal Surgery. 19 (4): 743–750. doi:10.1007/s11605-014-2726-7. PMID 25560182. S2CID 24206562.
  12. ^ "Carcinoid Tumors: Symptoms, Diagnosis & Treatment". Cleveland Clinic. Retrieved 2023-02-08.
  13. ^ Teixeira, Frederico José Ribeiro; Couto Netto, Sérgio Dias do; Akaishi, Eduardo Hiroshi; Utiyama, Edivaldo Massazo; Menegozzo, Carlos Augusto Metidieri; Rocha, Marcelo Cristiano (9 March 2017). "Acute appendicitis, inflammatory appendiceal mass and the risk of a hidden malignant tumor: a systematic review of the literature". World Journal of Emergency Surgery. 12 (1): 12. doi:10.1186/s13017-017-0122-9. PMC 5343298. PMID 28286544.
  14. ^ Hajjar, Roy; Dubé, Pierre; Mitchell, Andrew; Sidéris, Lucas (2019). "Combined Mucinous and Neuroendocrine Tumours of the Appendix Managed with Surgical Cytoreduction and Oxaliplatin-based Hyperthermic Intraperitoneal Chemotherapy". Cureus. 11 (1): e3894. doi:10.7759/cureus.3894. ISSN 2168-8184. PMC 6424473. PMID 30911451.
  15. ^ Michael Feely, Raul S. Gonzalez. "Appendix - Other tumors - Mucinous neoplasms (LAMN and HAMN)". Topic Completed: 1 October 2017. Revised: 11 December 2019
  16. ^ Griniatsos, J; Michail, O (2010). "Appendiceal neuroendocrine tumors: recent insights and clinical implications". World Journal of Gastrointestinal Oncology. 2 (4): 192–196. doi:10.4251/wjgo.v2.i4.192. PMC 2999180. PMID 21160597.
  17. ^ M. Townsend, Courtney (2012) [1969]. "51. The appendix". Sabiston (18th ed.). Elsevier. p. 1289.
  18. ^ McCusker, M. E.; Coté, T. R.; Clegg, L. X.; Sobin, L. H. (2002). "Primary malignant neoplasms of the appendix". Cancer. 94 (12): 3307–3312. doi:10.1002/cncr.10589. PMID 12115365. S2CID 40814989.
  19. ^ Bailey and Love's Short Practice of Surgery (27th ed.). p. 1315.
  20. ^ Selim, Jocelyn (Fall 2009). "The Fairest of All". CR. 4 (4). Philadelphia: American Association for Cancer Research. Archived from the original on 19 April 2010. Retrieved 26 May 2023.
  21. ^ "Stuart Scott Says, 'F U, Cancer!'". Men's Health. Retrieved 7 January 2015.
  22. ^ Sandomir, Richard (4 January 2015). "Stuart Scott, ESPN's Voice of Exuberance, Dies at 49". New York Times. Retrieved 26 May 2023.
  23. ^ Nikolić, Aleksandar (30 January 2015). "Vlada Divljan poručio: Nisam životno ugrožen, osećam se vrlo dobro" [Vlada Divljan said: I am not in danger, I feel very well]. Blic (in Serbian). Retrieved 26 May 2023.
  24. ^ Weiss, Haley (10 January 2024). "What to Know About Appendiceal Cancer". TIME. Retrieved 11 March 2024.

Further reading