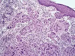
Melanoma with features of a Spitz nevus

Melanoma with features of a Spitz nevus
Other namesSpitzoid melanoma
Spitzoid melanoma
SpecialtyDermatology Edit this on Wikidata

Melanoma with features of a Spitz nevus, also known as a Spitzoid melanoma, is a cutaneous condition characterized histologically with tissue similar to a spitz nevus and with overall symmetry and a dermal nodule of epithelioid melanocytes that do not mature with progressively deeper dermal extension.[1]

See also

References

  1. ^ Rapini, Ronald P.; Bolognia, Jean L.; Jorizzo, Joseph L. (2007). Dermatology: 2-Volume Set. St. Louis: Mosby. p. 1752. ISBN 1-4160-2999-0.