Falcine sinus

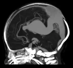
A falcine sinus is a venous channel that lies within the falx cerebri connecting the vein of Galen and the posterior part of superior sagittal sinus.[1] It is normally present during fetal development and involutes after birth. The presence of a falcine sinus has been associated with a vein of Galen malformation and other vascular anomalies. The persistence of a falcine sinus after the neonatal period was previously thought to be rare, but has recently been described to be present in up to 5% of all people,[2][1] appearings in approximately 2.1% of CT examinations of adult patients. Some authors have studied the plexus rather than the sinus, a rare form of the venous pathway between the layers of the cerebral falx, which connects the superior sagittal sinus with the inferior sagittal sinus and the straight sinus.[3]
References
- ^ a b Lin, Ling; Lin, Jin-Hua; Guan, Jian; Zhang, Xiao-Ling; Chu, Jian-Ping; Yang, Zhi-Yun (2018). "Falcine Sinus: Incidence and Imaging Characteristics of Three-Dimensional Contrast-Enhanced Thin-Section Magnetic Resonance Imaging". Korean Journal of Radiology. 19 (3): 463–469. doi:10.3348/kjr.2018.19.3.463. ISSN 1229-6929. PMC 5904473. PMID 29713224.
- ^ Ryu, C.-W. (February 2010). "Persistent falcine sinus: is it really rare?". AJNR. American Journal of Neuroradiology. 31 (2): 367–369. doi:10.3174/ajnr.A1794. ISSN 1936-959X. PMC 7964132. PMID 19779000.
- ^ Kędzia, Wojciech; Kędzia, Emilia; Kędzia, Alicja; Derkowski, Wojciech (2017). "Anatomy of the falcine sinus during the prenatal period". Surgical and Radiologic Anatomy. 39 (7): 753–758. doi:10.1007/s00276-016-1787-6. ISSN 0930-1038.