Fabella
| Fabella | |
|---|---|
![]() | |
| Details | |
| Identifiers | |
| Latin | os fabella |
| TA2 | 1395 |
| FMA | 281591 |
| Anatomical terminology | |
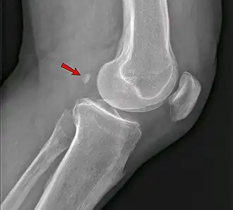
The fabella is a small sesamoid bone found in some mammals embedded in the tendon of the lateral head of the gastrocnemius muscle behind the lateral condyle of the femur. It is an accessory bone, an anatomical variation present in 39% of humans.[1][2] Rarely, there are two or three of these bones (fabella bi- or tripartita). It can be mistaken for a loose body or osteophyte. The word fabella is a Latin diminutive of faba 'bean'.[3]
In humans, it is more common in men than women, older individuals compared to younger, and there is high regional variation, with fabellae being most common in people living in Asia and Oceania and least common in people living in North America and Africa. Bilateral cases (one per knee) are more common than unilateral ones (one per individual), and within individual cases, fabellae are equally likely to be present in right or left knees. Taken together, these data suggest the ability to form a fabella may be genetically controlled, but fabella ossification may be environmentally controlled.[4]
Although the fabella seems to have disappeared with the evolution of Hominidae, it reappeared in humans sometime after they diverged from chimpanzees. It is unknown whether it reappeared soon after this divergence, 5–7 million years ago, or more recently in human evolution.[5] The re-emergence of the lateral fabella may be correlated with "straight-legged, bipedal locomotion" in humans.[6]
"The fabella can lead to posterolateral knee pain either due to cartilage softening (chondromalacia fabellae) or other osteoarthritic changes on its articular surface."[7]
See also
- Fabella sign – Pattern seen in radiologic examinations
References
- ^ Berthaume, Michael A.; Di Federico, Erica; Bull, Anthony M. J. (April 17, 2019). "Fabella prevalence rate increases over 150 years, and rates of other sesamoid bones remain constant: a systematic review". Journal of Anatomy. 235 (1). Wiley: 67–79. doi:10.1111/joa.12994. PMC 6579948. PMID 30994938.
- ^ "Sore knee? Maybe you have a fabella". BBC News. April 19, 2019.
- ^ Egerci, OF; Kose, O; Turan, A; Kilicaslan, OF; Sekerci, R; Keles-Celik, N (2017). "Prevalence and distribution of the fabella: a radiographic study in Turkish subjects". Folia Morphol (Warsz). 76 (3): 478–483. doi:10.5603/FM.a2016.0080.
- ^ Berthaume, Michael A.; Bull, Anthony M. J. (October 17, 2019). "Human biological variation in sesamoid bone prevalence: the curious case of the fabella". Journal of Anatomy. Wiley. doi:10.1111/joa.13091. PMC 6956444.
- ^ Sarin, Vineet K.; Erickson, Gregory M.; Giori, Nicholas J.; Bergman, A. Gabrielle; Carter, Dennis R. (1999). "Coincident development of sesamoid bones and clues to their evolution". The Anatomical Record. 257 (5). Wiley: 174–180. doi:10.1002/(SICI)1097-0185(19991015)257:5<174::AID-AR6>3.0.CO;2-O.
- ^ Fragoso Vargas, Nelly A.; Berthaume, Michael A. (September 11, 2024). "Easy to gain but hard to lose: the evolution of the knee sesamoid bones in Primates—a systematic review and phylogenetic meta-analysis". Proceedings of the Royal Society B: Biological Sciences. 291 (2030). doi:10.1098/rspb.2024.0774. ISSN 0962-8452.
- ^ Dannawi, Z.; Khanduja, V.; Vemulapalli, K.; Zammit, J.; El-Zebdeh, M. (January 20, 2010). "Arthroscopic Excision of the Fabella –". Journal of Knee Surgery. 20 (4): 299–301. doi:10.1055/s-0030-1248063. PMID 17993073.
Further reading
- Duncan, W; Dahm, D (September 2003). "Clinical anatomy of the fabella". Clin Anat. 16: 448–9. doi:10.1002/ca.10137. PMID 12903068.
- Werner, Platzer: Color Atlas of Human Anatomy, Vol. 1: Locomotor System (7th ed.), published by Thieme, 2015 (ISBN 978-3-13-533306-9)
External links
