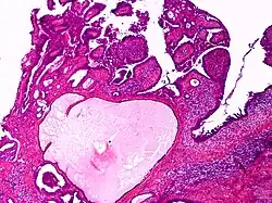
Apocrine gland carcinoma
| Apocrine gland carcinoma | |
|---|---|
| Apocrine gland carcinoma, papillary type | |
| Specialty | Dermatology/oncology |
Apocrine gland carcinoma is a cutaneous condition characterized by skin lesions which form in the axilla or anogenital regions.[1]: 670
See also
References